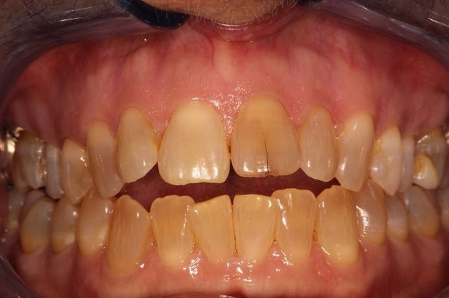
Cerec One Visit Crowns: Case 1 - Cerec Crown on a Single Front Tooth
Description
One of the most difficult things to achieve in dentistry is to match a single crown on a front upper tooth to a patient's remaining natural,unrestored teeth. The need for this may arise as a result of trauma, or as in this case, unsightly discolorations, stains and/or cracks in the tooth structure. Dr. Victor R. Siegel achieved a nice result for this patient in one visit by utilizing a Cerec chairside one visit crown with some custom staining and surface texture.





