Invisalign
Crooked, crowded, twisted, or gapped teeth can have a negative impact on your appearance, bite, and oral health.
However, many people who need orthodontics may avoid treatment because they don't want to wear metal braces.
At our Rockville, MD, practice, we use Invisalign® and SureSmile® to correct misaligned smiles without the need for conventional orthodontics.

Error: No $video_url from $page_url
URL or code copied from YouTube, Vimeo and other video sites should be entered in the Video field
Invisalign Can Address Many Concerns
Underbites
Crossbites
Crowded Teeth
Crooked Teeth
Gapped Teeth
Open Bites
Invisalign can treat many of the same orthodontic issues that traditional braces can fix. Patients with severe or complex malocclusion may benefit from a different treatment. If so, the dentists at our Rockville, MD, office offer a range of orthodontic procedures that can enhance your smile.
Schedule Your Invisalign Consultation
If you are concerned about crooked, crowded, or misaligned teeth, schedule a consultation at our Rockville, MD, dental office. Dr. Victor Siegel has nearly 40 years of dental experience and is equipped to address virtually any oral health need.
We believe that everyone deserves access to high-quality oral healthcare. That's why we offer a wide range of financing options, including CareCredit®, interest-free payment plans, and The Smile Club, which assists patients who do not have dental insurance. Contact us online or call us at:
(301) 963-4330

"Highly recommend!!" Read Our 5-Star Reviews
Always professional and friendly service. Highly recommend!!
View on Google
Found! Dr. Siegel and his staff were welcoming, willing to work with me and wonderful! It is a lovely, convenient office and I appreciated that Dr Siegel wanted to try a repair on my bridge rather than just replace it. New to the area, after experiencing some mediocre practices, I finally found a top-notch dentist and staff—they were worth the wait! —Christina Tavani
View on GoogleReal Patients. Real Results.
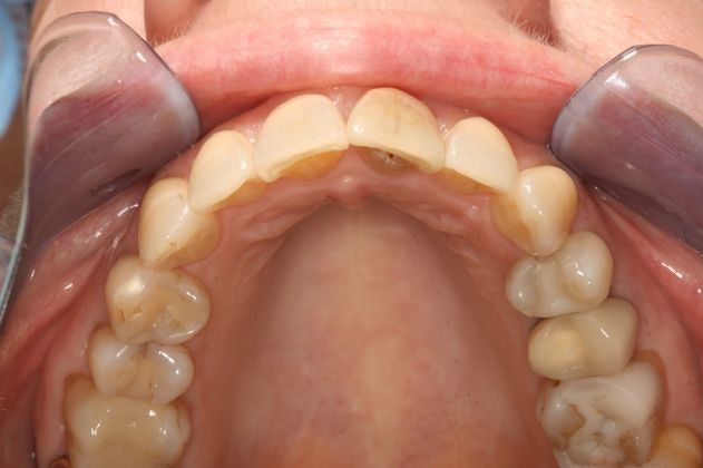
This patient was dissatisfied with the gap between their two front teeth. Dr. Victor Siegel closed this gap with the use of Invisalign clear aligners.
How Does Invisalign Work?
Created by Align Technology, Inc., Invisalign utilizes a series of clear aligners to gently and effectively straighten teeth. Whether your teeth are crooked, twisted, crowded, or spaced too far apart, Invisalign can help, leaving you with the beautiful smile you've always wanted. We use Invisalign clear aligners to correct crossbites, overbites, underbites, and other common orthodontic issues. In fact, Invisalign aligners can address most of the same issues as braces.
Error: No $video_url from $page_url
URL or code copied from YouTube, Vimeo and other video sites should be entered in the Video field
Dr. Siegel discusses the power of aligners over traditional braces. On average, Invisalign can help children, teens, and adults achieve a straighter smile in 12 to 18 months. Whether this is your first orthodontic treatment or you've had braces before, but your teeth have shifted as an adult, we can revitalize your smile with a treatment plan designed to meet your needs.
Why Choose Us For Invisalign Treatment?
Continuing Education
Dr. Siegel constantly strives to offer the best to his patients. Though he has been in practice since 1978, Dr. Siegel doesn't rest on his laurels. To stay current with trends in dentistry and expand his knowledge, he regularly takes continuing education courses that challenge him to grow his skills and dentistry expertise.
Preferred Invisalign Provider
While Dr. Siegel isn't an orthodontist, he is a preferred Invisalign provider. This qualification means he has the advanced training needed to develop an Invisalign treatment plan and has demonstrated success in previous cases from Rockville patients who have turned to us.
Customized Treatment
Before starting Invisalign, patients meet with Dr. Siegel to discuss their concerns and goals for what they want out of orthodontic treatment. We block off an hour to consult in-depth with you about our treatment options and find the best choice for your needs.
Comprehensive Care
Our Rockville office offers a wide range of general, restorative, and cosmetic procedures, all under one roof. Whether you need to address gum disease before Invisalign treatment or would like teeth whitening as the finishing touch for your new smile, you can find the care you need here.
Rockville Trusts Us For Their Dental Needs
"As always, Doctor Kramer is fantastic! I always recommend her. She’s fantastic with my teeth and with my kid’s teeth."
David Shrank
Making Your Invisalign Treatment More Affordable
We do not want financial barriers to prevent patients from receiving Invisalign treatment. In addition to accepting most major dental insurance plans, we also offer flexible financing options. Ask our team about:
- CareCredit®
- The Smile Club
- Interest-free payment plans
- Pay-in-full discount
Beyond accepting insurance and monthly financing plans, we also offer a 5% discount when patients pay for Invisalign treatment in full at the start of their treatment plan. If you can afford to cover the cost of treatment at the start, this is a deal worth taking.
See the Difference Between Invisalign and Traditional Braces
Traditional orthodontic treatment involves metal wires and brackets to guide your teeth into alignment. Invisalign uses a series of smooth, clear aligner trays to refine your teeth and bite. They are a discreet, removable method for correcting a variety of orthodontic concerns.
It's Never Too Late to Transform Your Smile Request a Consultation Today
After reaching adulthood, many people would prefer not to spend years wearing uncomfortable metal braces to straighten their teeth. Thanks to Invisalign, adults and teens can undergo discreet orthodontic treatment without the wires and brackets that come with braces.
Our dentists can review your oral health and see if Invisalign matches your long-term goals. To learn more about your treatment options, contact our Rockville, MD, office today or give us a call:
(301) 963-4330

"Excellent service!" More Reviews From Rockville Patients
Excellent dentistry and tooth maintenance. Very pleasant and attentive staff. I would highly this dental practice to anyone.
View on GoogleExcellent service! Everyone is friendly and welcoming, and the doctor did an excellent job. The doctor was very delicate, professional, and efficient.
View on Google
Invisalign Treatment Timeline
Whether you've never had major orthodontic work or your teeth have shifted a bit since wearing braces as a child, aligners are a simple and effective treatment for misaligned smiles.
Ready to enjoy a straighter smile?
Maintaining Your Invisalign Aligners
Caring for your aligner trays and teeth during Invisalign treatment is easy.
Remove the Trays to Eat
If you're getting ready to enjoy a meal or snack, first remove your trays. Place them in a protective case to prevent loss or damage. Be sure to rinse your trays before putting them back in your mouth. Do not use hot water on your Invisalign aligners, as it could warp them.
Clean Aligners with a Mild Soap
To clean your trays, brush them with a soft-bristle brush and a mild soap. Toothpaste can scratch the material or leave deposits. Rinse with cool or warm water.
Brush and Floss
Brush and floss your teeth as you normally would before you put your aligners back in. Maintaining good oral hygiene during your orthodontic treatment is important.
We Also Offer SureSmile Clear Aligner Treatment
/
In addition to Invisalign, Dr. Siegel also offers SureSmile®. SureSmile is another clear aligner system that provides many of the same benefits as Invisalign. However, SureSmile may be able to treat complicated cases of malocclusion that Invisalign cannot address. We can compare treatment options and which one would be right for you during your consultation.
See Which Treatment Is Right For You Request a Consultation
When you meet with our preferred Invisalign provider, Dr. Siegel, you'll find quality, customized care. He will take the time to discuss the specific concerns you want to address and develop a plan that's suited accordingly. Whether that means proceeding with Invisalign, SureSmile, or another treatment option, we're here to help create a smile you love.
To find out if you qualify for Invisalign treatment or if SureSmile is a better choice for your needs, request a consultation at our Rockville, MD, dental practice:
(301) 963-4330
"BEST dentist I have ever been to in my life." Patients Love Our Office and Staff
Dr Siegal is a superb dentist. Very thorough. Very competent. Very detail oriented. Great bedside manner. Great staff.
View on GoogleThe doctor is so gentle and friendly. He thoroughly explain EVERY step of the way and every necessary treatment plan. His staff is phenomenal. BEST dentist I have ever been to in my life.
View on GoogleThe Perks of a Straighter Smile Aren't Just Cosmetic
Boosted Confidence
Your smile factors heavily when making a first impression. A straighter smile with no gaps can make you feel more self-confident at work, in social situations, and in other aspects of your life.
Easier to Clean
Crowded and crooked teeth can be difficult to brush and floss effectively. Straight teeth that are evenly spaced are easier to clean, reducing serious health risks like tooth decay and gum disease.
Improved Oral Health
Misaligned teeth can affect the alignment of your jaw, which can cause joint pain, headaches, and teeth grinding (bruxism). Straighter teeth and a properly aligned jaw can reduce these pains and prevent TMJ disorders.
Better Function
Straighter teeth can improve your enunciation, allowing you to speak more clearly. Your biting and chewing abilities will also improve, allowing you to eat a wider variety of foods.
Picture a Healthier Smile Thanks to Invisalign
Frequently Asked Questions About Clear Aligners
How long do I have to wear my Invisalign trays each day and how long until I can see my results?
For the best results possible, you must be committed to wearing your Invisalign aligners for at least 20-22 hours a day. If you cannot responsibly wear your aligners, other orthodontic treatments may be a better option for you. On average, Invisalign treatment takes about 18 months depending on the severity of your concerns.
Can my child undergo Invisalign treatment?
Invisalign treatment requires a level of responsibility that traditional braces do not. During your consultation at our Rockville dental office, your dentist will discuss these requirements and help you determine if your child is responsible enough to wear and maintain the clear aligner trays. If the child cannot be trusted to wear, clean, and not lose the trays, other options can be discussed at that time.
Is there an age limit for Invisalign?
It is never too late to straighten your smile. If you are healthy enough and can properly wear and maintain the trays, you are not too old for Invisalign treatment.
Is Invisalign covered by insurance?
Many dental insurance plans partially cover Invisalign treatment. Our financial experts are happy to check your benefits and file claims on your behalf, and we will verify coverage before treatment starts. This will allow you to properly plan and budget.
Do I have to visit an orthodontist for an Invisalign consultation?
People may think an orthodontist is necessary when it comes to evaluating your candidacy for Invisalign. However, general dentists can train in Invisalign treatment, just like orthodontists.
Dr. Siegel has spent nearly four decades practicing cosmetic dentistry and general dentistry. He has completed training in complex aspects of dentistry, including Invisalign, and can improve any patient's smile.
Should I choose veneers over clear aligners?
Veneers are often called instant orthodontics as they can give your smile a straighter appearance immediately. However, it conceals the issue. It doesn't correct it. Porcelain veneers may be a good option for you if you have a gap between your teeth or mild misalignment. Veneers are not a good option for those with severe orthodontic issues, and they will not help those with bite concerns like an overbite, overbite, or crossbite.
Have more questions about Invisalign treatment or ready to get started?
Another 5-Star Review of Our Rockville, MD, Office
"Professional front desk staff. Appointments are always a breeze. Dr. Kramer is gentle and efficient."
Nithu Myneni









