
Cosmetic Dentistry
Are you unhappy with the appearance of your smile? You may be a cosmetic dentistry candidate.
Victor R. Siegel, DDS, and his team in Rockville, MD, provide a variety of dental treatments to boost your confidence and self-esteem.
Find out which form of cosmetic dentistry is right for you during a consultation.
Want to Rejuvenate Your Smile? We're Happy to Help
Cosmetic treatments are unique in that they often provide patients with dramatic
results right away. When we see our Rockville patients feel good about their new
smiles, it's the most rewarding part of our work. From veneers to teeth whitening,
come explore your options.
What Is Cosmetic Dentistry?
/
Cosmetic dentistry focuses on improving the appearance of your teeth and gums. Though cosmetic dentistry doesn't aim to restore the functionality of your teeth, some cosmetic treatments do have practical benefits. Our Rockville dental office offers a wide variety of options to explore.
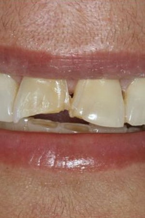
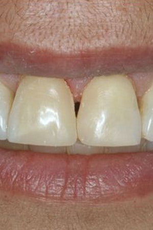
Our Office Lets You Preview Your Results

See Your Smile Transform
We keep our patients in mind every step of the way, so that you're always in control of your care. Our team features options like wax-ups and Primescan preview software to give you an idea of what your smile will look like.
In some cases, we can even use our precise digital scanners to make a 3D-printed mockup. Once it's completed, we'll add temporary bridge or crown material. Then, you can try your new smile out, ensuring that you feel comfortable and confident about your treatment.
Create a Custom Cosmetic Dental Plan WITH OUR ROCKVILLE, MD, DENTIST
Dental concerns like chips, discoloration, or misalignment don't have to affect your confidence. Instead, our dentists can help design the smile you've always wanted.
Plus, our staff members are more than happy to answer any questions you may have about the cosmetic dentistry procedures we offer. To get in contact with us, send our Rockville team a message or call:
(301) 963-4330

Your Home for Dental Care Exceptional Dental Care Tailored Just for You
"Best dental experience ever! Dr. Siegel and his staff do everything
Becky Garcia
to make their patients comfortable. I’ve been going to this practice
for over 20 years and would highly recommend them!!"
Have Big Goals?
Consider a Smile Makeover
/
To dramatically revitalize your smile, you can combine multiple cosmetic treatments into a custom smile makeover. It can include treatments like teeth whitening, bonding, gum reshaping, and veneers. Envision the possibilities when you explore our options below.
Our Cosmetic Services
Refreshing Gummy Smiles With Gum Contouring
Also called gum reshaping, gum contouring removes excess gum tissue to smooth an uneven gum line or improve the appearance of a "gummy smile."
Our cosmetic dentists use advanced dental lasers for gum contouring to minimize discomfort and the risk of infection. Patients can also enjoy a shorter, more comfortable recovery with this approach to dentistry.
Is Gum Contouring Right for Me?

If you're unhappy with a gummy smile, you may be interested in gum contouring. To determine your eligibility, we look at these factors:
Gum Health
The health of your teeth and gums will always come first. For instance, if your gums look puffy, this can actually be a sign of periodontal disease, which will need treatment.
Patient Knowledge
A good candidate is an informed candidate. Dr. Siegel will show you treatment videos, explain the process, and answer questions, so you know all the details you need before making a decision.
Tooth Concerns
Gum contouring can refine the shape of your gums, but in many cases, patients will still have teeth that do not look proportionate with their gum tissue. As a result, Dr. Siegel often recommends pairing veneers with gum reshaping.
Struggling With Dental Anxiety? Our Caring Cosmetic Dentistry Team Will Put You at Ease
Dr. Siegel and Staff ROCK!!
I've been seeing this dentist "magician" for well over 20 years. 100% committed to his patients their dental health and well-being! 100% RECOMMEND
I used to be one of those people who dreaded going to the dentist.. but almost 18 years later, without hesitation.. I’d strongly recommend Dr Siegel, Jilna and the rest of the team! Always using the latest technology, but must importantly they are always there to make sure you feel comfortable!
View on GoogleA Practice Where Rockville Patients Feel Welcome and Understood
Error: No $video_url from $page_url
URL or code copied from YouTube, Vimeo and other video sites should be entered in the Video field
Technology Spotlight: CEREC Same-Day Crown System
Don't want a long wait for your new crown or bridge? We invest in you with the CEREC® system.
Because our CEREC machine can craft a custom crown during your visit, it makes restorative dental care easier and more convenient than ever. This technology allows our dentists to create and place porcelain crowns, inlays, or onlays in just one appointment.
Our superior-quality ceramic material can be matched to both the color and translucency of the surrounding teeth to ensure a natural appearance and long-lasting results.

High-Tech Treatment In a Caring Environment
"Dr. Siegel and his staff are superb. After 27 years of going to the same dentist I had to research and find a new one. I wish he was my dentist so many years ago. Top notch staff, state-of-the art equipment and the latest advances in dentistry are used."
Janet Lee
Your Custom Treatment Plan WILL INVOLVE THESE STEPS:
"We lift smiles and spirits every day!" Dr. Victor Siegel
Let Our Dentists Give You the Smile
of Your Dreams
Transforming Smiles, One Dream at a Time
Dr. Victor Siegel and Dr. Shannen Manlucu can create a custom treatment plan to improve the appearance of your smile and elevate your confidence to exciting new heights. Our range of cosmetic dentistry treatments can provide you with a whiter, straighter, and more symmetrical smile!
If you're in the Rockville, MD, area, we invite you to request an appointment by filling out our contact form or calling our office at:

Maintaining Your Beautiful Smile with Preventive Treatment
We're not here to just upgrade your smile and send you on your way - we are here to help keep your smile looking its very best for many years to come. Preventive dentistry is a big part of our practice, and we look forward to maintaining your beautiful smile with:
Retainers

Following treatment with Invisalign, your teeth can shift back into their previous position, becoming misaligned again. A custom retainer worn overnight can help keep your teeth in place and maintain the results of your orthodontic treatment.
Cleanings

Scheduling regular dental exams and cleanings can prevent oral health problems before they start. Our dentists can help keep your teeth from developing problems like cavities, gum disease, and dental stains, problems that may need cosmetic dentistry to correct.
Mouth Guards

If you grind or clench your teeth at night, your teeth can become worn down over time. Dr. Siegel can design a custom mouth guard that fits comfortably in your mouth to protect your teeth as you sleep.
It's Our Honor To Maintain an Office That Patients Can Trust
Excellent dentist and staff. So glad I switched dentists. Dr. Siegel and his staff are the best.
View on GoogleI am originally from NYC and was in need of a great dentist in MD. I am very happy to have found Dr. Siegel. His attention to detail is impeccable and your concerns are addressed at the appointment. I am generally a very anxious patient at doctors offices but I absolutely trust him to take care of my dental needs and wouldn't go anywhere else. Highly recommend!
View on GoogleHow Can I Pay for Cosmetic Dentistry?
Dental insurance plans won't contribute to the cost of cosmetic dentistry because it's considered elective. However, we don't think cost should stand between you and the upgrades you wish to achieve in your smile.
Our Rockville, MD, office accepts CareCredit®, which allows patients to pay for their treatment in affordable monthly installments at reasonable interest rates.
The cost of cosmetic dentistry treatments varies from patient to patient, depending on the severity of the case and the materials used during treatment. Our dentists can give you an estimate during your initial consultation. Don't wait any longer to find out how we can make your teeth, gums, and entire smile look better than ever before!














