
Veneers
Are you unhappy with your smile due to discolored or misshapen teeth, gaps, or minor misalignment?
Dental veneers are a versatile and natural-looking treatment option that can transform your smile in just two office visits.
At his practice in Rockville, MD, Dr. Victor R. Siegel offers porcelain veneers and no-prep LUMINEERS®.
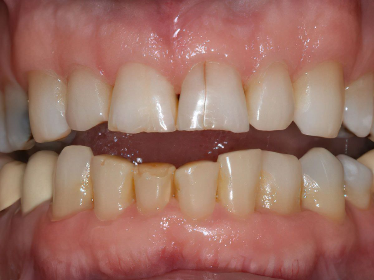
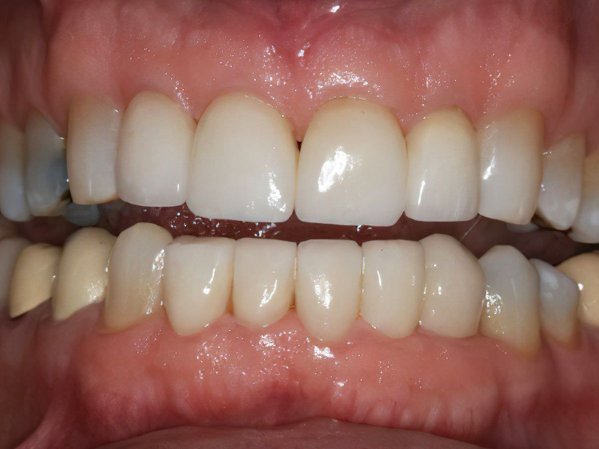
Beautiful Results From Lifelike Veneers
"Truly the best dentist." Rockville, MD, Patients Know They Can Trust Us
I used to be one of those people who dreaded going to the dentist.. but almost 18 years later, without hesitation.. I’d strongly recommend Dr Siegel, Jilna and the rest of the team! Always using the latest technology, but must importantly they are always there to make sure you feel comfortable!
View on Google
Dr. Siegel's office and staff are exceptional. My dentist in the practice is Dr. Shannon. She is wonderful. Very thorough, caring and always making sure that you do not have any discomfort. Dr. Shannon is an absolutely wonderful dentist. My wife and I are thrilled that we found such a great dental office by becoming patients with Dr. Siegel's practice.
View on GoogleWondering About Your Veneer Options?
We'll Help You Explore the Possibilities
During your consultation at our Rockville, MD, practice, Dr. Manlucu will examine your smile and determine if conventional porcelain veneers, no-prep LUMINEERS, or another cosmetic dentistry option is right for you.
Contact us to ask us a question about veneers or request a consultation. You can also reach us by phone:

How Our Dentist Places Traditional Porcelain Veneers
Oral conscious sedation can help patients feel more comfortable during the first veneer appointment.
Need Additional Touch-Ups? You May Be a Smile Makeover Candidate
Porcelain veneer treatments are an effective way to enhance your smile, but they can also be one step in a total smile makeover. During a smile makeover, our dentists will work with you to create a customized plan of dental treatments and give you the smile you’ve always wanted.
LUMINEERS by CERINATE Four Key Benefits
LUMINEERS by CERINATE® are an exciting development in cosmetic dentistry. If you want stunning results with that require no enamel removal, we encourage you to schedule an appointment with Dr. Siegel to explore your candidacy. Advantages of this treatment include:
No Enamel Removal
Conventional porcelain veneers require the removal of some enamel to accommodate the thickness of the veneers. However, razor-thin LUMINEERS don’t require any removal of the tooth’s natural structure, anesthetic injections, or drilling.
Strong and Durable
While they are extremely thin, LUMINEERS are made with the strength of patented CERINATE porcelain and can last for more than 20 years with proper care.
Reversible Treatment
The procedure is also reversible; because the original tooth structure is still intact, LUMINEERS veneers can be removed at any time.
Less Risk of Discomfort
Because the tooth structure is still whole and protecting the tooth roots and nerves, there is a low risk of pain after the procedure.
The LUMINEERS Treatment Timeline At Our Rockville Dental Office
The placement of LUMINEERS takes just two appointments.
Transform Your Smile Starting With a Consultation
If you feel self-conscious about your smile, you may be a candidate for veneers. Whether you're concerned with color, chips, or cracks, Dr. Victor Siegel and Dr. Shannen Manlucu can give you a thorough examination and determine whether veneers fit your dental goals. We can also combine veneers with other treatments for the ultimate smile.
Have questions before you get started? Message our friendly team for more info. Ready to request a consultation? Call our Rockville office at:

Rockville Patients Come to Our Dentist For Comfortable Care and Beautiful Results
Best dentist I’ve ever been to - great office, amazing staff and overall flawless experience.
View on GoogleGreat dental practice. Friendly, straightforward, and interested in caring for my teeth and gums.
View on GoogleWhat If My Teeth Aren't Healthy Enough for Veneers?
/
Our Rockville, MD, cosmetic dentists will never place veneers if your mouth isn't healthy. Otherwise, your conditions may worsen and your results won't last. We're a comprehensive practice, so we can improve your health with tailored treatment before placing veneers.
Treatable Dental Conditions And How They Affect Your Porcelain Veneer Options
Some dental conditions can prevent you from being a good candidate for cosmetic procedures like veneers. But with treatment from our full-service Rockville practice, you can become eligible for cosmetic treatment. We can assist with conditions like:

Cavities
Tooth decay is an incredibly common condition that impacts even the most dedicated brushers. If you have tooth decay, our cosmetic dentists will remove the damaged material and protect your tooth.
Depending on the extent, you may just need a tooth-colored filling. We also offer root canal therapy and crowns for deeper decay. After your teeth are completely healthy, then you can explore veneers.

Gum Disease
Gum disease begins as gingivitis, with symptoms like puffy gums and bleeding while flossing. It can worsen, turning into periodontal disease, which can cause gum recession or even tooth loss.
We can treat your gums with periodontal care, including scaling and root planing, so that you have a healthy smile ready for dental veneer placement.

Severe Trauma
Dental veneers are designed to cover small cracks or chips, but they cannot treat more severe trauma. For single teeth, our dentists offer dental crowns. They're caps that can fortify your teeth, protecting them for years to come. We can even make your custom crown as you wait using our high-tech CEREC machine.
For more extensive cases, patients may be better candidates for full mouth reconstruction, instead of veneers.

Tooth Grinding
Do you notice tightness or pain in your jaw? You may grind your teeth at night, which can wear down your enamel.
Our team can protect your teeth from the effects of bruxism with a custom mouth guard. Once we have gotten your teeth grinding under control, then our cosmetic dentists can help you explore porcelain veneers.
I Need Help Becoming a Veneers Candidate
Healthy teeth are the foundation for any beautiful smile. Whether you have bleeding gums, bruxism, or severe tooth damage, we can restore your oral health before veneer treatment. Contact our Rockville, MD, dentists to begin.
"I am very happy to have found Dr. Siegel." Rockville Patients Are Here to Stay
I am very happy to have found Dr. Siegel. His attention to detail is impeccable and your concerns are addressed at the appointment. I am generally a very anxious patient at doctors offices but I absolutely trust him to take care of my dental needs and wouldn't go anywhere else. Highly recommend!
View on GoogleLong-standing patient of Dr Siegel. He has taken care of me and my family for over 20 years. Highly recommend him for general and specialty cosmetic care.
View on GoogleRecovery From Veneers Treatment Is Simple and Easy
After receiving veneers, you should be ready to eat and drink as soon as the numbness from local anesthesia fades. The effects of oral conscious sedation or anesthesia should wear off within a few hours. LUMINEERS patients may have an even shorter recovery since the treatment does not require any anesthesia.
Some patients may feel some rough areas around the veneers after the procedure. This is usually from excess dental cement that holds the veneers in place. The normal routine of eating and brushing should smooth out the rough spots over the first few days.
How Long Can My Veneers Last?
/
Though they're not permanent, veneers can still offer years of beautiful results. Composite veneers have a lifespan of about 10 years. Porcelain veneers, like LUMINEERS, can last up to 20 years, making them more cost-effective in the long run. With proper care, they can be a long-lasting solution to aesthetic concerns.
Protect Your Veneers By Following These Simple Tips
Veneers require very little additional maintenance beyond taking care of your oral hygiene by brushing and flossing. After receiving veneers, patients should avoid certain bad habits that can wear down or chip veneers such as:
Chewing your fingernails
Opening packaging with your teeth
Grinding or clenching your teeth
Happy Dental Patients Are Our Number One Priority
"Excellent Dentist for past 20 years. Thank you for everything. You are the BEST."
Mouhcine Zairi




