
Dental Implants
Tooth loss affects more than just your appearance. A missing tooth can impact your confidence and make chewing and speaking difficult.
Dr. Victor Siegel in Rockville, MD, can rejuvenate your smile, restore oral function, and boost your self-esteem with dental implants.
Learn how dental implants can improve your oral and overall health while giving you a beautiful smile.
Let's Start Planning Your New Smile!
Dr. Victor Siegel in Rockville has spent more than 40 years helping patients live better lives through excellent dental care, and he can do the same for you. Our practice uses guided surgical techniques for the most precise dental implant outcomes, and we offer interest-free financing plans. Take the first step toward a better quality of life today by calling our Rockville dental office:
What Are Dental Implants?
Dental implants are artificial tooth roots, often made of durable titanium. These titanium implants support restorations such as dentures, dental bridges, and dental crowns to replace missing teeth. They also provide stimulation to the jaw that prevents the bone atrophy that occurs after tooth loss. A dental implant and restoration consist of 3 parts: the titanium implant, an abutment, and a restoration.

Why Do I Need Dental Implants? The Next Best Thing to Natural Teeth
You may be wondering why you should choose to restore your smile with an implant when a traditional bridge or denture is less expensive. While traditional options are more affordable, they do not offer the incredible benefits provided by implants, including:

Improved Health
Losing a tooth causes more than just a gap in your smile. The roots of your teeth provide important stimulation to your jawbone, keeping it strong and healthy. Without these signals, the bone tissue in your jaw begins to deteriorate. As this bone loss continues, your surrounding teeth will begin to shift. This can lead to your face appearing sunken and aged beyond your years. It can also lead to losing more of your natural teeth. Implants act as bionic tooth roots and are the only treatment proven to stop further bone loss.
 

Unmatched Stability
Implants fuse directly to your jawbone through a process called osseointegration. In simple terms, this means once they have healed, an implant becomes part of your body. A restoration placed on an implant will look, function, and feel just like a natural tooth. Since dental implants can be used to replace any number of missing teeth, patients with widespread tooth loss can enjoy unparalleled stability for a bridge or denture. With dental implants, you will be able to speak clearly again and eat all of your favorite foods without any concerns.

Long-Term Results
Implants are a proven solution for missing teeth. While a crown, bridge, or set of dentures will need to be replaced periodically, your dental implants can provide decades of reliable service with proper care. Factors that affect the longevity of dental implants include oral hygiene, bone density, medical conditions, location of the implant, whether or not you smoke, and the skill of the dentist conducting the surgery. Dr. Siegel will discuss how these various factors will impact your implants during a consultation at our Rockville, MD, dental office.
Rockville Patients Love Our Dental Practice
"I found my new dentist
Marcellia Kemp
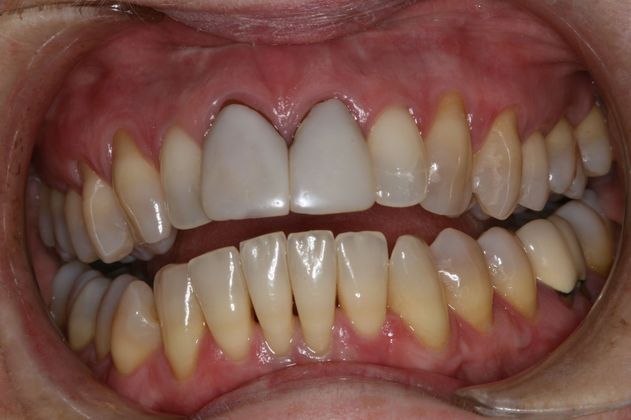
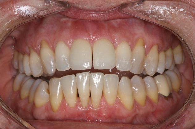
A Stunning Transformation Could Improve Your Quality of Life
After experiencing multiple traumatic injuries to her two top front teeth, our dental implant patient decided to have them extracted and replaced by two implants supporting all-ceramic dental crowns here in Rockville. She wanted to keep the natural gap between her teeth, so Dr. Siegel included her request when rebuilding her new smile.
          
        
Why Choose Victor R. Siegel, DDS?      
          
Over 40 Years of Experience
Dr. Siegel has provided the community of Rockville, MD, with top-quality care since opening our dental practice in 1981. More than just a dentist, Dr. Siegel volunteers his teaching services to residents in the Advanced Education in General Dentistry program at the University of Maryland School of Dentistry. With over four decades of dental experience, you can expect nothing less than the best oral care when you visit our dentist's office.
State-of-the-Art Technology
Our dentists use advanced dental technology so you can enjoy the long-term benefits provided by dental implants. Cone-beam computed tomography (CBCT) scans allow our doctors to plan every aspect of your surgery. With CBCT, Dr. Siegel can plan the optimal placement of your dental implants, create a life-like restoration, and fabricate precise surgical guides so that you can enjoy the best possible results and a beautiful smile.
Comprehensive Care
At Victor R. Siegel, DDS, we offer you and your family the finest restorative treatments from our comfortable and inviting office. With our experienced dentists and advanced techniques and tools, we can treat nearly any oral health issue from the convenience of our dental practice. We also offer sedation options to help even the most anxious patients relax so that they can receive much-needed dental care without worrying about stress or pain.
5-Star Reviews "Caring and very professional."
Dr Siegal is a superb dentist. Very thorough. Very competent. Very detail oriented. Great bedside manner. Great staff.
View on GoogleCaring and very professional staff. Dr Siegel took extra time to personally explain my care plan.
View on GoogleHow Much Do Dental Implants Cost?
Guided dental implant surgery starts at $2,200, but a multitude of other factors contribute to the overall cost of treatment. Typically, replacing a single missing tooth starts at just under $5,000. Compare this to a three-unit bridge, which typically costs $4,500. If you require any type of preparatory treatment, you can expect costs to be greater.
We accept several types of dental insurance and our friendly office staff will file all the necessary paperwork with your provider so you can take full advantage of your benefits. Any procedures covered by insurance can help bring the overall cost of your individualized treatment down.
Flexible Financing Is Available
For patients interested in lowering their initial out-of-pocket expenses, we offer financing through CareCredit®. A healthcare-specific credit card, CareCredit provides payment plans ranging from six to 60 months. We can answer any questions you may have about the cost of dental implants and financing options during your next visit to our Rockville dental office.
Unsure If Implants Are Right for You? Learn More at a Consultation
There's no better way to have your questions answered about your tooth restoration options and your concerns addressed than by visiting our office for a consultation. Once your dentist reviews your unique oral health needs, they'll be able to discuss the best options for your smile. Contact us or call to get started.
(301) 963-4330
"BEST dentist I have ever been to in my life." More 5-Star Reviews
The doctor is so gentle and friendly. He thoroughly explain EVERY step of the way and every necessary treatment plan. His staff is phenomenal. BEST dentist I have ever been to in my life.
View on GoogleDr. Siegel and Staff ROCK!! I've been seeing this dentist "magician" for well over 20 years. 100% committed to his patients their dental health and well-being! 100% RECOMMEND
View on GoogleDental Implant Timeline
Guided implant surgery makes the procedure safer and more predictable than ever before.
Implant Placement Aftercare
Take Medications as Directed
Your dentist may prescribe a prescription pain medication or suggest over-the-counter medications to take after your implant placement surgery. Take them as recommended to reduce pain and inflammation.
Keep Your Head Elevated
Keep your head propped up during the first 24 hours after your implant placement. This will help to reduce swelling.
Use Ice
Use ice packs on your cheeks and jaw to reduce swelling during the first 24 hours after implant surgery. This will also help with any pain. Apply the ice packs for about 20 to 30 minutes at a time.
Eat a Soft Diet
It is best to eat a soft diet to reduce any irritation to the implant site. After a few days, you can resume eating solid foods as you feel able.
Hear From More Happy Patients
I used to be one of those people who dreaded going to the dentist.. but almost 18 years later, without hesitation.. I’d strongly recommend Dr Siegel, Jilna and the rest of the team! Always using the latest technology, but must importantly they are always there to make sure you feel comfortable!
View on Google
Dr. Siegel's office and staff are exceptional. My dentist in the practice is Dr. Shannon. She is wonderful. Very thorough, caring and always making sure that you do not have any discomfort. Dr. Shannon is an absolutely wonderful dentist. My wife and I are thrilled that we found such a great dental office by becoming patients with Dr. Siegel's practice.
View on GoogleWant Your Old Smile Back? Contact Us for a Consultation
From trouble chewing to being embarrassed about your smile, missing teeth can negatively impact your life every single day. But it doesn't have to be that way.
Whether you're missing a front tooth or have lost all of your natural teeth, the dentists at Victor R. Siegel, DDS, can provide implant-supported restorations that will completely transform your smile. Our state-of-the-art dentistry techniques create restorations that look and feel just like natural teeth. Dr. Siegel has over four decades of experience providing patients in the Rockville and Bethesda area with personalized and comprehensive dental care. We offer financing options and calming sedation to help make implant dentistry available to everyone, no matter their hesitation.
Rediscover the confidence of a full, healthy-looking smile. Request your dental implant consultation by contacting us or by calling:
 

Nervous About Treatment? We Ensure Patients' Comfort With Sedation
Many patients experience anxiety about dental care, and would rather endure a damaged smile than visit a dentist. But there's no need to fear modern dentistry.
To help ease apprehensive patients, Dr. Siegel offers calming oral sedation. Patients simply take a pill before their appointment and experience a relaxed, comfortable procedure. Many will not even remember their visit. Patients choosing sedation will need someone to drive them to and from our Rockville, MD, office.
How Do I Care for Dental Implants?
Good news! Dental implants can be cared for in much the same way as your natural teeth. Taking care of your restorations and dental implants will help ensure they stay beautiful and functional for years to come.
Follow these aftercare tips to
keep your dental work in top shape:
- Brush twice a day with a gentle, non-abrasive toothpaste.
- Use a soft-bristled toothbrush that won't scratch the restoration.
- Floss daily; a floss threader, interdental brush, or water flosser can help.
- Visit your dentist twice a year for thorough cleanings.
How long will implants last?
With proper care, you can expect your restoration to last 10-15 years or even longer (depending on the type). Your implants themselves can last a lifetime.
 
More 5-Star Reviews
Professional, courteous, informative, and thorough Dr, hygienist, and entire staff.
View on Google
Very, very pleasant receptionist Dr. Siegel was great listened and saw my concerns. Helped to explain everything to me.
View on Google






